Fetal Sex Determination in Cows During Pregnancy
Determining the sex of a fetus in cows during pregnancy is an important component of modern herd management, particularly in dairy or beef production systems. Knowing the offspring’s sex at an early stage of pregnancy allows farmers to make more informed decisions regarding selection, herd replacement planning, and overall reproductive strategy. In veterinary practice, ultrasonography is most commonly used, as it allows non-invasive assessment of the developing fetus’s anatomical structures, safe for both the mother and the embryo.
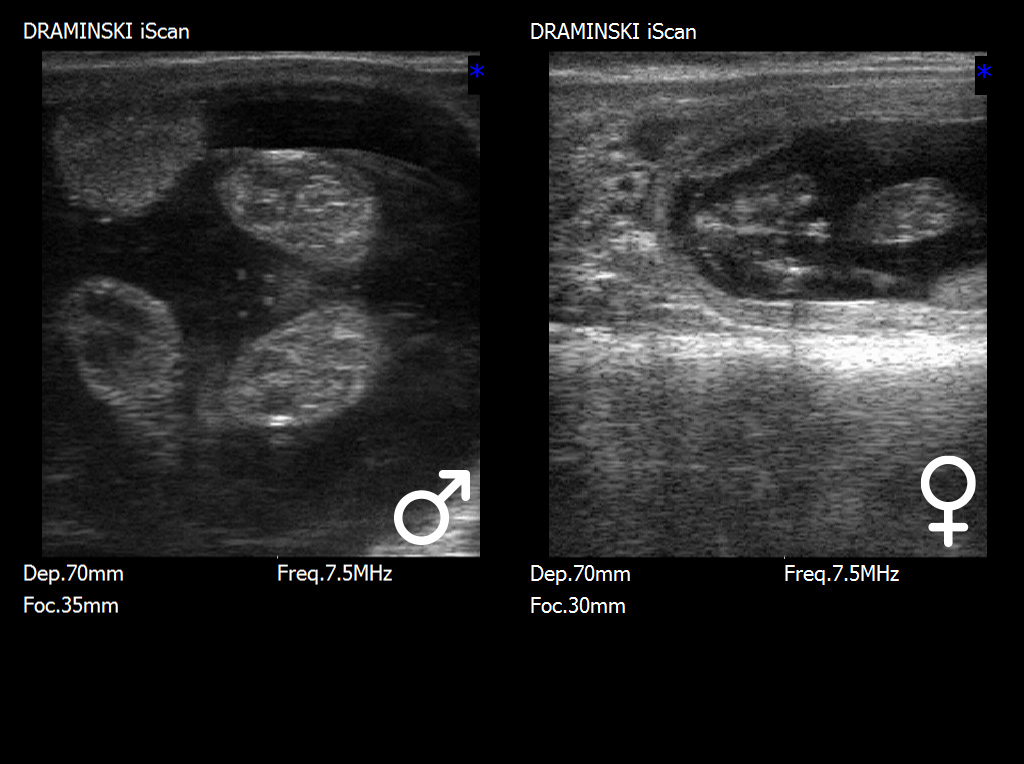
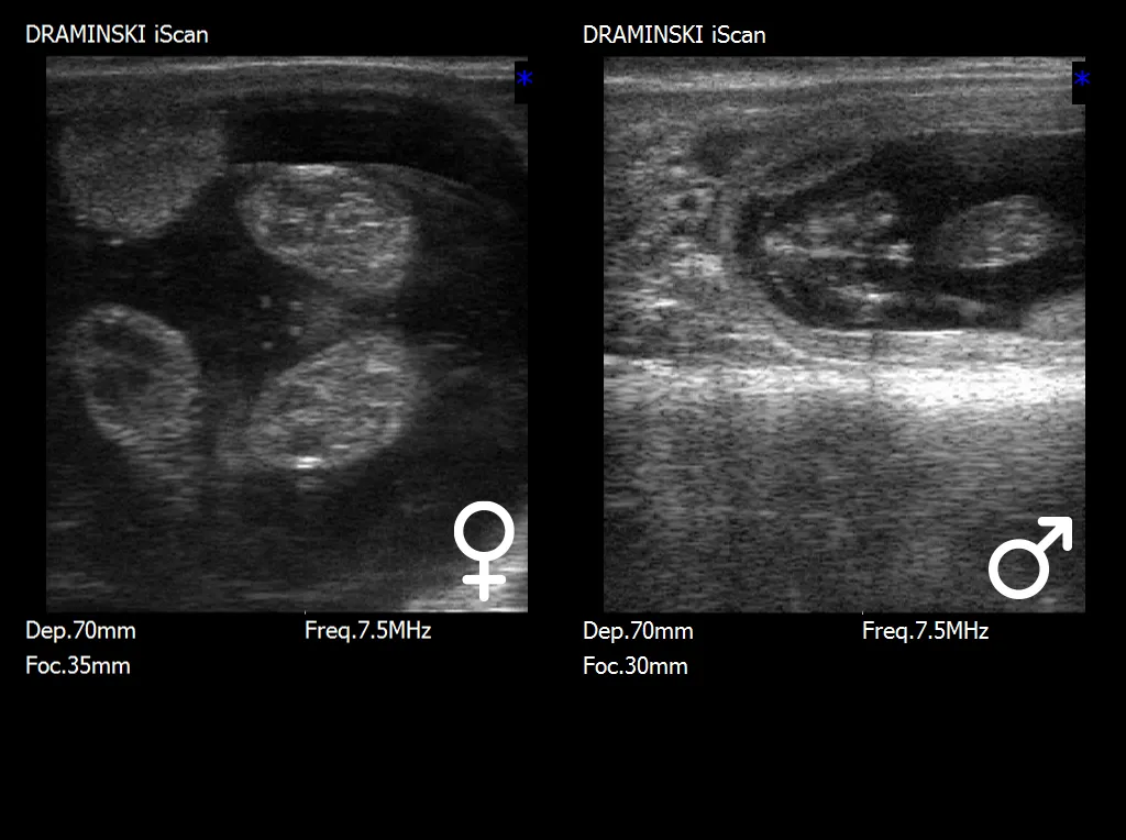
The optimal period for fetal sex determination is between days 55 and 70 of pregnancy.
At this stage, the key diagnostic structure is the genital tubercle (tuberculum genitale), which undergoes characteristic displacement depending on the fetus’s sex. In male fetuses, the genital tubercle shifts toward the umbilicus and the future penis, while in female fetuses, it is located closer to the tail, in the region of the future vulva. Correct interpretation of the tubercle’s position requires not only high-quality ultrasound imaging but also appropriate experience, as small variations in fetal positioning can influence the assessment.
In the later stages of pregnancy, after approximately days 70–80, identification of more developed external genital organs becomes possible, such as the scrotum in male fetuses or vulvar structures in female fetuses. Although sexual characteristics are more apparent at this stage, the examination becomes more challenging due to the increasing size of the fetus, its deeper position within the uterine cavity, and the limited maneuverability of the ultrasound probe.
Fetal sex determination during pregnancy can have significant breeding and economic implications.
It enables planning of the herd’s future structure, more efficient genetic selection, and optimization of reproductive strategies, including the use of sexed semen or decisions regarding the sale of animals. From the veterinary perspective, this procedure requires a precise ultrasound device, manual skill, and a solid understanding of ultrasonographic image interpretation.


